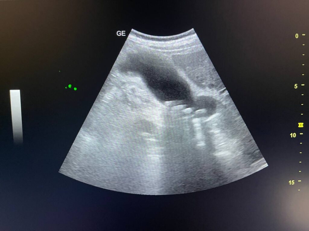
GB STONES & CBD STONE

Gall bladder distended,  increase wall thickness 5.5mm edematous, contain multiple mobile stones of variable sizes , the largest 12mm + dilated common bile duct 13mm , due to presence of stone about 25mm in the distal part

AR