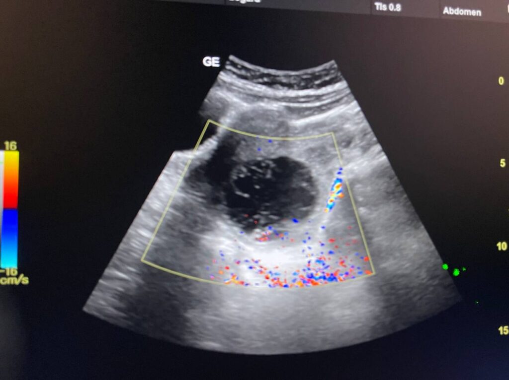
Right ovarian heterogeneous circumscribed avascular cystic mass its size 55x55mm, mostly hemorrhagic , with whirlpool sign , picture mostly of Twisted right hemorrhagic ovarian cystic , Cystic TORSION , please for further study ??
· No free pelvic fluid seen






